All’Irccs Spallanzani una foresteria a prezzi calmierati per caregiver
L'Istituto Nazionale per le Malattie Infettive Lazzaro Spallanzani Irccs ha inaugurato Casa Spallanzani, una foresteria con ricettività di 22 posti letto distribuiti...
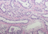
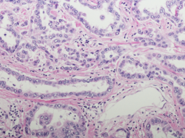
L’ausilio dell’IA per migliorare la diagnosi dei tumori
Dalla ricerca ANTHEM nasce MiThyCA, un sistema di Intelligenza Artificiale che aiuta i...
Tecnologia e AI per migliorare l’assistenza
Korian Italia conferma il suo impegno a offrire ai propri pazienti un servizio...
Vapore acqueo per il trattamento dell’iperplasia prostatica benigna
Vanta dati robusti di efficacia terapeutica, di soddisfazione del paziente in termine di...
DVR: la qualità della documentazione video nel workflow clinico
Nel contesto sanitario attuale la documentazione delle procedure cliniche è essenziale per garantire...
La “regola del 3”: l’healthcare tedesco in Italia genera il triplo del valore e 2,9 miliardi di impatto
La residenza dell’Ambasciatore di Germania in Italia Thomas Bagger, Villa Almone, ha ospitato...
Riconoscimento del Politecnico di Torino per una startup innovativa nel campo della telemedicina
Medicilio, azienda che permette ai pazienti di accedere alla qualità delle cure ospedaliere...
Sanità e tracciabilità: l’RFID al servizio della logistica intelligente
La logistica sanitaria è un comparto in rapida ascesa, spinta anche dall'invecchiamento della popolazione e dalla conseguente crescente richiesta di farmaci, dispositivi medici...
Sicurezza, igiene e gestione smart degli accessi: scarica il white paper...
La progettazione degli ambienti sanitari sta vivendo, dalla pandemia da Covid-19, una rapida evoluzione. La crescente attenzione alla sicurezza delle persone e dei...
Breast coNnEcTion, percorso senologico integrato ospedale-territorio
Il progetto Breast coNnEcTion (Breast NET) dell'Asst Fatebenefratelli Sacco intende migliorare il percorso diagnostico e assistenziale nel carcinoma mammario attraverso un percorso senologico integrato...
Irccs MultiMedica e Sesto San Giovanni insieme per la prevenzione cardiovascolare
La collaborazione tra Comune di Sesto San Giovanni (MI) e Irccs MultiMedica prevede il coinvolgimento di cittadini sestesi in fascia d'età 40-80...
Un’Isola di Patologia Neonatale all’Ospedale Buzzi
L’Ospedale dei Bambini Vittore Buzzi di Milano avrà un’Isola di Patologia Neonatale, che accoglierà neonati che necessitano di monitoraggio clinico o cure...
Sepsi, novità dalle nuove linee guida internazionali
Tempestività nella somministrazione dell'antibiotico, anche in ambulanza, uso ragionato dei test diagnostici rapidi per individuare il germe responsabile e l'eventuale presenza di...
Trattamento del Parkinson e diagnostica: due progetti del Politecnico di Milano
Nel programma Horizon Europe rientrano due progetti che portano innovazione in ambito medicale e che sono finanziati da un ERC Starting Grant...














































